Boutique Dental Clinic
in the heart of Antalya
Experience dental care designed exclusively for you. From your very first consultation to the final result, Dt. Melek personally oversees every detail of your journey. We believe in a gentle, one-to-one approach where your comfort is our priority and your smile is crafted with dedicated, hands-on artistry in the heart of Antalya.

About the Practice
We are proud to open our doors as a premier boutique destination for oral health. While our clinic is brand new, our philosophy is timeless: patient-first care. We have curated a space where state-of-the-art dental technology meets a calm, sophisticated atmosphere. By investing in the latest diagnostic tools and premium materials, we ensure that your treatment is not only faster and more comfortable but performed with a level of precision that only the newest innovations can provide. At our clinic, the future of dentistry is personal.
Implant Expertise
Specialized in complex cases for international patients seeking quality and value
VIP Care Throughout
Luxury facilities with multilingual staff and personalized attention
Treatment Meets Holiday
Located in Antalya's beautiful coastal district with warm weather and pristine beaches

Treatments
At Melona Dent Clinic, we are dedicated to providing a wide range of dental solutions to meet your individual needs.
Cosmetic Dentistry
Crowns & Restorations
General Dentistry
Cosmetic Dentistry
Crowns & Restorations
General Dentistry
Meet Our Dentist

Dt. Melek Merve Nurlu
Principal Dentist
After years of honing her skills in the private sector, Dt. Melek established her own clinic to escape the "assembly-line" feel of large practices. Specializing in Smile Design and Cosmetic Dentistry, she brings seven years of clinical excellence to her own boutique space. Unlike larger clinics where you might see multiple doctors, Dt. Melek is your dedicated partner in health. She hand-selects every material and performs every procedure herself. Her philosophy is simple: Modern technology, premium materials, and a doctor who listens .
Our Approach
Results That Last
Focus on long-term oral health and natural-looking aesthetics you'll love
Welcoming Nervous Patients
Gentle, patient approach for those who feel anxious about dental visits
Built for International Patients
Streamlined processes and comprehensive support from consultation through recovery
Plan Your Visit
Your journey to a perfect smile starts here. We make it simple for international patients.
Free Consultation
Upload your photos or X-rays and receive a personalized treatment plan with pricing and estimated duration of stay.
Online Consultation
Schedule a video consultation with Dt. Melek or a patient coordinator who speaks your language.
Book & Travel
Once you're ready to proceed, book your appointment and arrange your travel to (AYT Airport) Antalya, Turkey.
Your Treatment
Arrive at the airport and we'll take care of the rest!
Free Consultation
Upload your photos or X-rays and receive a personalized treatment plan with pricing and estimated duration of stay.
Online Consultation
Schedule a video consultation with Dt. Melek or a patient coordinator who speaks your language.
Book & Travel
Once you're ready to proceed, book your appointment and arrange your travel to (AYT Airport) Antalya, Turkey.
Your Treatment
Arrive at the airport and we'll take care of the rest!
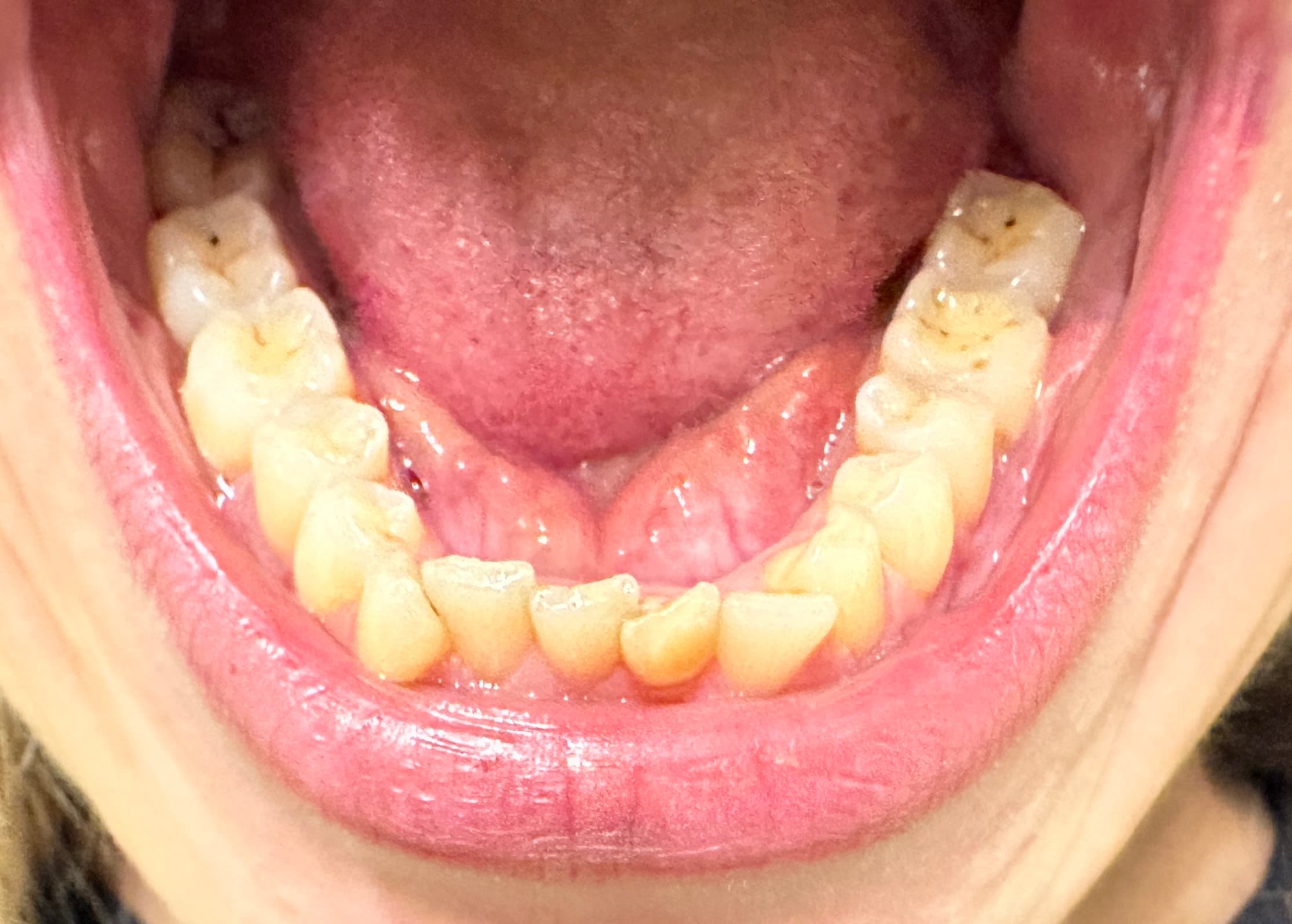
How to Take Your Photos
Follow these 5 simple steps so we can give you the most accurate assessment possible.

Bite naturally. Smile directly at the camera. Try to show as many teeth as possible.

Bite naturally. Make sure you have pulled the cheek and lips from the back teeth on the right side.

Bite naturally. Make sure you have pulled the cheek and lips from the back teeth on the left side.

Chin down towards chest. Open your mouth wide and make sure all your teeth are visible.

Open wide and raise your chin as much as possible. Make sure all your teeth are visible.
Free Consultation
Not sure where to start? Send us your photos and receive a personalized treatment plan with pricing and estimated duration of stay—all within 1 hour. No obligation, no pressure—just honest advice to help you achieve your best smile.
- Comprehensive oral health assessment
- Personalized treatment recommendations
- Transparent pricing with no hidden fees
- Accommodation and transportation